treatments
Tooth Whitening
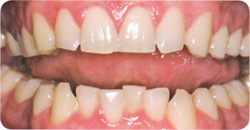
While some people have naturally whiter teeth, tooth discoloration can be caused by such things as tobacco use, dark foods and beverages, age, certain medications, and tooth trauma. Over time, most people's teeth become darker and more yellow.
Treatment
The active ingredient in most tooth whiteners is some form of peroxide. Oxygen molecules from the peroxide penetrate the tooth and break down discolored molecules.
Some people, though not all, experience some sensitivity during whitening. This sensation is temporary, however, and typically disappears within a few days of treatment.
OpalescenceR Boost
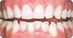
Opalescence Boost is a professional whitening treatment performed in the dental office, and has proven effective at creating beautiful, long-lasting results after just one quick treatment. It is usually effective in as little as 40 minutes! Ask us about this effective treatment when making your next appointment.
![]() Before whitening |
![]() After whitening |
This is a summary of "The power of a professional white smile " brochure published by Ultradent Products Inc. Pick up a detailed brochure at our office.












